Рак крови основные виды симптомы и лечение
В рамках онкологии термин «рак крови» не имеет четкого определения. Это подтверждают специалисты.
В академическом круге под определением «рак» помещается категория опухолей, имеющих злокачественный характер и происходящих из эпителиальных тканей, которые формируют покровы тела и внутренних органов. Поскольку кровь не формируется из эпителиальных клеток, термин «рак» в данном контексте не используется.
В обыденной практике «рак крови» чаще всего ассоциируется с различными формами лейкоза – это злокачественные патологии, связанные с кроветворной системой. Иммунные функции организма нарушаются из-за увеличения незрелых клеток-лейкоцитов в костном мозге, что привело к устаревшему термину – лейкемия (белое кроветворение).
Понимание рака крови
Заболевания крови можно рассматривать как группу злокачественных болезней, которые возникают из-за мутаций стволовых клеток в костном мозге, нарушая функционирование всей системы кроветворения, включая такие органы, как печень и селезенка, а также лимфатическую систему.
Опухоли, образующиеся из клеток, отвечающих за кроветворение, называют гемобластозами. Эти болезни классифицируются по местоположению мутационных клеток.
- Лейкозы возникают, когда раковые клетки формируются в костном мозге.
- Если злокачественные образования локализуются за пределами костного мозга, их относят к гематосаркомам.
- При образовании опухоли из зрелых лимфоцитов возникает редкое заболевание, называемое лимфоцитомой.
Факторы, способствующие развитием заболеваний крови
В крови присутствуют три ключевых типа клеток, играющих важную роль: эритроциты, тромбоциты и лейкоциты.
- Эритроциты переносят кислород к тканям.
- Тромбоциты обеспечивают остановку кровотечения.
- Лейкоциты защищают организм от инфекций и болезнетворных микроорганизмов.
Здоровые клетки, производимые в костном мозге, иногда могут превращаться в аномальные, что становится причиной злокачественных процессов. Природа этих превращений до конца не изучена. Мутировавшие клетки начинают бесконтрольно делиться, подавляя рост здоровых клеток и вытесняют их.
Лейкоциты мутируют чаще всего.
Когда такие «поражающие» клетки занимают доминирующую позицию, они поражают костный мозг, а затем распространяются с кровотоком по всему организму, нарушая функции поражённых органов из-за различий в структуре клеток.
Скорость развития заболевания и затронутые клетки определяют его агрессивность или хронический характер. Хронические формы лейкозов более поддаются лечению, однако их обнаружение может быть затруднено. Часто пациенты долгое время не подозревают о наличии заболевания, и зачастую оно выявляется случайно при прохождении других анализов.

Хронические формы:
- Хронический лимфолейкоз – увеличение незрелых лимфоцитов в костном мозге, крови, лимфатических узлах и селезенке;
- Хронический миелолейкоз – перерождение клеток костного мозга, часто связанное с генетической аномалией, известной как «филадельфийская хромосома».
Острые формы:
- Острый лимфолейкоз – неконтролируемый рост лимфобластов, приводящий к подавлению кроветворения и ослаблению иммунной защиты;
- Острый миелолейкоз – связанный с преобразованием миелоидных стволовых клеток, из которых формируются эритроциты, тромбоциты и лейкоциты, исключая лимфоциты.
Основная причина заболевания кроется в мутациях генов, управляющих ростом клеток. Хотя факторы их появления еще неясны, ряд триггеров был выделен:
- Воздействие радиации (включая лучевую терапию и медицинские процедуры с использованием излучения, такие как КТ и ПЭТ);
- Контакт с токсичными химикатами (бензол, пестициды);
- Проведение химиотерапии;
- Возрастные группы: старше 60 и младше 20 лет;
- Иммунодефициты, возникающие на фоне заболеваний или приема определенных медикаментов;
- Курение и чрезмерное употребление алкоголя;
- Некоторые редкие инфекции (например, заражение вирусом Т-клеточного лейкоза HTLV-1).
Никто не застрахован от лейкоза. Тем не менее, по данным специалистов, в зоне риска находятся люди старше 60 лет, так как в эту возрастную категорию повышена вероятность клеточного перерождения, а лечение может оказаться менее эффективным.
Некоторые формы лейкозов чаще встречаются у детей и подростков. Врачи отмечают, что чем моложе пациент, тем выше шансы на успешное достижение ремиссии.

Признаки заболеваний крови
Наиболее часто встречающиеся симптомы:
- Головные боли;
- Необъяснимое повышение температуры;
- Чувство слабости и хронической усталости;
- Синяки и кровотечения;
- Частые инфекционные заболевания;
- Боли в костях;
- Увеличение лимфатических узлов;
- Резкое снижение веса;
- Увеличение печени и селезенки.
Методы борьбы с заболеваниями крови
Современная медицина достигла значительного прогресса и научилась эффективно справляться с рядом форм заболеваний крови. Однако важнейшим условием для успешного лечения остается своевременная диагностика.
Диагностика
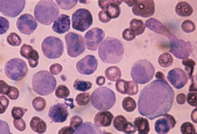
Иногда для выявления лейкоза достаточно провести стандартный анализ крови, но чаще потребуются более комплексные методы исследования. Ключевым анализом является пункция костного мозга, при которой полученный образец анализируется под микроскопом. Основное внимание уделяется структуре клеток, их химическому составу и количеству лейкоцитов.
Для определения распространения злокачественных клеток в организме могут проводиться спинальные пункции, рентгенографические исследования черепа и грудной клетки, а также УЗИ, КТ и МРТ различных органов.
Чтобы диагностировать лейкоз на ранних этапах, обязательно проводят следующие лабораторные исследования:
- Общий анализ крови, который может показать повышенное содержание лейкоцитов и изменения в показателях СОЭ, в сочетании с дефицитом тромбоцитов и эритроцитов.
- Цитогенетическое исследование, позволяющее выявить атипичные хромосомы и уточнить вид онкологического заболевания, для чего необходимо взять клетки из костного мозга.
- Иммунофенотипирование, основанное на реакции антител с антигенами, помогает различать хронический и острый лейкоз.
- Миелограмма, показывающая соотношение атипичных и нормальных клеток в костном мозге. О наличии патологии свидетельствует увеличение бластных клеток выше 5%, а при остром лейкозе этот показатель может превышать 20%.
- Цитохимический анализ, который помогает выявить специфические ферменты и определить подтип острого лейкоза.
– Все эти исследования проводятся в специализированных онкологических учреждениях. Количество необходимых обследований определяется индивидуально для каждого пациента, — отмечают специалисты.
Современные подходы к терапии
Стратегия лечения зависит от формы и стадии заболевания. Как и в случае с другими злокачественными новообразованиями, для борьбы с раковыми клетками в первую очередь применяется химиотерапия, также используются лучевая терапия, таргетные и иммунотерапевтические препараты.
В некоторых ситуациях может потребоваться трансплантация костного мозга или стволовых клеток. Перед пересадкой больным назначаются препараты, подавляющие иммунный ответ, чтобы избежать отторжения донорских клеток.
Профилактика заболеваний крови в домашних условиях
Специфических мер профилактики заболеваний лейкозом на данный момент не разработано. Поэтому рекомендации врачей сводятся к общим принципам здоровья: вести активный и здоровый образ жизни, а также избегать стресса.
Если у человека есть наследственная предрасположенность к злокачественным новообразованиям, рекомендуется проходить диагностику на пять лет раньше, чем это заболевание было выявлено у ближайших родственников.
– Онкологические болезни кроветворной системы являются одними из самых непредсказуемых, поэтому лучшим способом их предотвращения является регулярное обследование, как минимум раз в полгода, и ведение здорового образа жизни, – советуют эксперты.