Глубокий прикус у взрослых причины и методы лечения
Глубокий прикус у взрослых не является лишь косметической проблемой, он также создает дополнительную нагрузку на зубы. Рассмотрим, почему возникает данная аномалия и какие подходы к ее лечению существуют.
Глубокий прикус — это стоматологическое нарушение, которое не только портит улыбку, но и может негативно сказаться на здоровье зубов, вызывая значительное стирание эмали. К счастью, данную проблему можно устранить в любом возрасте.
Определение глубокого прикуса
Глубокий прикус — это довольно распространенная проблема, наблюдаемая у приблизительно 20% людей, обращающихся к специалистам. При этом верхние зубы при закрывании рта накрывают нижние более чем на треть их высоты. Это также повышает нагрузку на зубы, вызывая их стирание и образование трещин и сколов на эмали. Дополнительно, пациенты могут испытывать трудности при жевании, откусывании, а также испытывать нарушения речи, включая сложности с произнесением свистящих и шипящих звуков.

У взрослых этот прикус может привести к дисфункции височно-нижнечелюстного сустава (ВНЧС), который соединяет нижнюю челюсть с черепом. Симптомы дисфункции включают боль и щелчки в суставе, а также дискомфорт при открывании рта.
В некоторых случаях глубокий прикус может изменить внешность, что проявляется в уменьшении высоты нижней части лица или значительном выступании губ.

Глубокий прикус бывает как врожденным, так и приобретенным. Врожденные факторы могут быть вызваны наследственностью или осложнениями во время беременности. Приобретенные проблемы чаще всего формируются в детстве, обусловленные заболеваниями органов дыхания (например, хроническими ринитами) и плохими привычками, такими как сосание пальца или пустышки. Это может привести к нарушениям формирования челюстей и лицевого скелета, а также к стоматологическим проблемам, как ранняя утрата молочных и постоянных зубов.
Специалисты выделяют три степени глубины прикуса в зависимости от того, насколько верхние резцы накрывают нижние:
- 1 степень: верхние резцы накрывают нижние не более чем на 2/3 высоты коронок (около 4-5 мм).
- 2 степень: перекрытие составляет 2/3 и более, вплоть до полного закрытия (примерно 5-9 мм).
- 3 степень: перекрытие превышает высоту коронок с контактом нижних резцов с мягким небом, что может привести к травмам.
Часто глубокий прикус наблюдается в сочетании с другими нарушениями, например, с дистальным прикусом.
Важно знать о глубоком прикусе
| Причины | • наследственная предрасположенность; • привычки из детства; • заболевания органов дыхания |
| Внешние проявления | • пониженная высота лица в нижней части; • возможно недоразвитие нижней челюсти, из-за чего она расположена позади верхней |
| Внутриротовые проявления | • при закрытом рте нижние резцы практически не видны; • нижние передние зубы быстрее подвержены износу; • скученность зубов в передней части нижнего ряда |
| Последствия | • увеличенное стирание зубных тканей; • повышенная чувствительность к температуре; • перегрузка мышцы; • болевые ощущения и щелчки в районе ВНЧС |
Способы коррекции глубокого прикуса у взрослых
Исправление глубокого прикуса взрослым может быть проведено с помощью ортодонтических или хирургических методов. Коррекция становится необходимой, если проблемы с прикусом приводят к негативным последствиям, таким как трещины эмали, дисфункции ВНЧС или повреждения слизистой рта. Также пациенты с легкой формой могут желать исправить прикус из эстетических соображений.
Первый этап лечения включает осмотр специалиста, который выслушивает жалобы и анализирует состояние ротовой полости, включая расположение и размер зубов. Для постановки точного диагноза и разработки плана лечения могут быть назначены дополнительные обследования:
- панорамная рентгенография зубов;
- компьютерная томография черепа;
- снятие слепков верхней и нижней челюсти (в некоторых случаях вместо слепков используют цифровое сканирование);
- МРТ ВНЧС.
Перед началом терапии необходимо провести санацию полости рта: устранить инфекционные очаги, удалить зубной камень и вылечить кариес. Иногда требуется установка временных коронок. Во время лечения пациентам следует уделять особое внимание гигиене полости рта с использованием щеток, нити и ирригаторов.
Коррекция глубокого прикуса может производиться с использованием брекетов, элайнеров и оперативного вмешательства. Рассмотрим преимущества и недостатки каждого из методов.
Брекеты
Брекеты являются основным методом исправления глубокого прикуса. Существуют различные системы брекетов, такие как вестибулярные (крепятся на лицевой стороне зубов) и лингвальные (устанавливаются на внутренней стороне зубов), а также лигатурные и самолигирующие.
Все системы действуют по одному принципу: ортодонтическая дуга фиксируется на зубах с помощью специальных соединений, создавая натяжение, которое помогает зубам принимать правильное положение.
Этот метод эффективен для коррекции глубокого прикуса и демонстрирует хорошие результаты, однако лечение может занять более года. В сложных случаях вместе с брекетами используются дополнительные ортодонтические устройства, например, минивинты и накладки.
Плюсы и минусы
Плюсы: безоперационная методика, хороший эстетический результат.
Минусы: длительное лечение, не всегда эффективно при серьезных нарушениях.
Элайнеры
Элайнеры, представляющие собой съемные капы, могут служить альтернативой брекетам. Они менее заметны и удобны в использовании, так как изготовлены из прозрачного материала. Элайнеры оказывают постоянное давление на зубы, направляя их в нужное положение.
План ношения элайнеров составляется специалистом, однако во время лечения пациент самостоятельно меняет их. Если рекомендации не соблюдаются, это может негативно повлиять на результат.
Плюсы и минусы
Плюсы: удобство ношения, возможность самостоятельной смены вызывает меньшую необходимость в частых визитах к врачу.
Минусы: неэффективны в сложных случаях, результат зависит от соблюдения рекомендаций пациентом.
Операция
Хирургическое вмешательство рекомендуется при серьезных нарушениях прикуса и деформациях челюстей. Во время операции производится корректировка положения челюстей, а также изменение их размеров с последующей фиксацией. Операция проводится под общим наркозом.

Операция назначается только после ортодонтической подготовки, в ходе которой пациент носит брекеты или элайнеры для выравнивания зубного ряда и коррекции формы и размера зубов.
Плюсы и минусы
Плюсы: данный метод подходит для серьезных нарушений, восстанавливает физиологическое положение зубов и исправляет эстетику лица.
Минусы: требуется общий наркоз, длительный восстановительный период и предварительная длительная ортодонтическая подготовка.
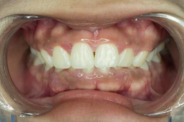
Фотографии до и после коррекции глубокого прикуса

— Пациентка обратилась с проблемами, связанными с неправильным положением зубов и неудовлетворительной эстетикой. В лечении использовались только брекеты, и общий срок терапии составил один год.
Часто задаваемые вопросы
Глубокий прикус представляет собой распространенную аномалию, и может вызывать серьезный дискомфорт. Чем он опасен и какова стоимость его исправления? На актуальные вопросы отвечают специалисты.
Каковы риски глубокого прикуса?
— Основная проблема заключается в ускоренном износе твердых тканей зубов. Это связано с тем, что у людей с глубоким прикусом нижние зубы при жевании трутся об верхние. Чем глубже перекрытие, тем большее стирание наблюдается, что со временем становится патологическим. Также неправильный прикус может вызвать перегрузку мышц и проблемы с ВНЧС.
В чем различие между глубоким и дистальным прикусом?
— Глубокий прикус — это проблема перекрытия передних зубов, означающая, что верхние резцы практически полностью покрывают нижние. Дистальный прикус же касается боковых зубов и неправильного их смыкания. Часто оба нарушения встречаются одновременно.
Какова стоимость лечения глубокого прикуса?
— Полный курс ортодонтического лечения в нашей клинике стоит от 450 до 500 тысяч рублей и включает в себя период около 1,5–2 лет.
Расценки варьируются в зависимости от методики, сложности случая и уровня квалификации специалистов. Важное значение имеет также регион: в столицах подобные услуги могут стоить дороже, чем в других местах.